セルフホワイトニング
Merit セルフホワイトニングのメリット

低価格
歯科のホワイトニングよりも安いのはもちろん、他店の美容ホワイトニングと同等の金額で医療ホワイトニングが可能です。
低価格で確実な効果を実感いただけます。
低価格で確実な効果を実感いただけます。

痛みが少ない
セルフホワイトニングはオフィスホワイトニングと比べて痛みが出にくいので、安心してご使用いただけます。

短期間
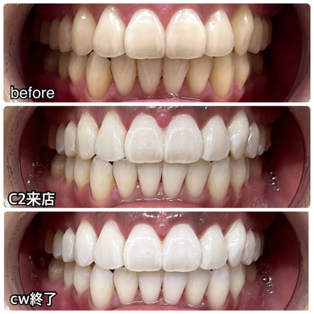
医療用のホワイトニングジェルを使用するため1回でもかなり効果を実感していただけますが、繰り返し行うことで別人級の白さになります。

安心安全
歯科医院とのオンライン診療で歯科医師から薬剤を処方するため安心安全!
LEDライトも安全な波長域を使用しているため日焼けの心配もありません。

お好みの白さ
歯科医院との提携により、サロンレベルの自然な白さから医療レベルの圧倒的な白さまでお好みの白さを目指すことが可能。不自然な白さになることはありません。
手軽に一回単位でのセルフホワイトニングも可能。



















